O acidente vascular cerebral (AVC) é uma das maiores urgências médicas do país — e uma das principais causas de morte entre os brasileiros. Ao lado do infarto, integra o grupo das doenças cardiovasculares, que respondem por cerca de 30% dos óbitos anuais, segundo o Ministério da Saúde.
De janeiro a outubro deste ano, 64.471 pessoas morreram em decorrência do AVC, o equivalente a uma vida perdida a cada seis minutos. No ano passado, foram 85.457 mortes, segundo dados do Portal da Transparência dos Cartórios de Registro Civil, número que mantém o Brasil entre os países com maior carga da doença.
Neste 29 de outubro, Dia Mundial do AVC, especialistas reforçam o alerta: oito em cada dez casos poderiam ser evitados com controle da pressão arterial, prática regular de exercícios e abandono do cigarro.
Oito em cada dez casos poderiam ser evitados
Segundo o Ministério da Saúde e a Sociedade Brasileira de AVC (SBAVC), o segredo para evitar o problema está em controlar os principais fatores de risco, que são:
- hipertensão;
- diabetes;
- obesidade;
- tabagismo;
- sedentarismo;
- colesterol alto.
“O AVC é uma doença súbita e devastadora, mas a maioria dos casos é evitável. O problema é que os fatores de risco, como hipertensão e cigarro, ainda são mal controlados”, afirma o neurocirurgião Hugo Doria, do Hospital Santa Catarina.
“Controlar a pressão arterial é, sem dúvida, o fator mais importante — e o mais negligenciado. A hipertensão é silenciosa, mas responde muito bem ao tratamento quando há adesão e acompanhamento médico”, reforça Doria.
Tipos de AVC
- Isquêmico (85% dos casos) – ocorre quando há entupimento de um vaso sanguíneo que leva sangue ao cérebro. Está ligado à pressão alta e a doenças cardíacas, como a fibrilação atrial, que pode formar coágulos e bloquear artérias cerebrais.
- Hemorrágico (15% dos casos) – acontece quando há rompimento de um vaso, provocando sangramento no tecido cerebral. É menos comum, mas mais grave, com risco elevado de sequelas e morte.
“Durante o AVC isquêmico há um bloqueio na artéria, levando à falta de sangue e morte das células cerebrais. Já no hemorrágico, o sangue extravasa por ruptura de um vaso”, explica o neurocirurgião Feres Chaddad, professor da Universidade Federal de São Paulo (Unifesp) e chefe da neurocirurgia da BP – A Beneficência Portuguesa de São Paulo.
/i.s3.glbimg.com/v1/AUTH_59edd422c0c84a879bd37670ae4f538a/internal_photos/bs/2025/V/j/19Tvj7RbmIiZ6i7jplZA/montagem-tasbagismo-cigarro-contraceptivo-anticoncepcional.jpeg.jpg)
A nova face da doença: jovens em risco
Historicamente associada à velhice, a doença vem afetando cada vez mais adultos jovens. Dados da Sociedade Brasileira de AVC indicam que a incidência do tipo isquêmico — causado pela obstrução de vasos sanguíneos — aumentou 66% entre brasileiros com menos de 45 anos na última década.
“Antes, o AVC era típico dos idosos, mas hoje é comum ver casos em pessoas de 30 e 40 anos”, afirma o neurocirurgião Orlando Maia, do Hospital Quali Ipanema e membro da World Federation of Interventional and Therapeutic Neuroradiology. “O estilo de vida mudou: há mais obesidade, sedentarismo, cigarro eletrônico, uso de anticoncepcionais e dietas desbalanceadas. Esse conjunto eleva a pressão e inflama os vasos, antecipando o aparecimento da doença.”
De acordo com o neurocirurgião Feres Chaddad, três fatores explicam o aumento de casos nessa faixa etária:
- Doenças cardíacas, como a persistência do forame oval, uma comunicação entre as cavidades do coração que pode permitir a passagem de coágulos para o cérebro;
- Combinação de tabagismo e anticoncepcional hormonal, que multiplica por até dez o risco de AVC e de trombose venosa cerebral;
- Uso de substâncias anabolizantes e testosterona em academias, que aumentam o risco de tromboses graves.
“Nas mulheres, a associação de enxaqueca com aura, anticoncepcional e cigarro é especialmente perigosa. Entre os homens, o abuso de estimulantes hormonais em academias se tornou uma nova preocupação”, alerta Chaddad.
O médico também destaca outros elementos que agravam o cenário: estresse contínuo, má alimentação e noites mal dormidas, fatores que aceleram o surgimento de hipertensão, obesidade e diabetes — doenças que, segundo ele, “estão aparecendo cada vez mais cedo e abrindo caminho para o AVC em idades que antes não eram de risco”.
‘Tempo é cérebro’: cada minuto conta
Os sintomas do AVC aparecem de forma súbita e exigem ação imediata. Entre os mais comuns, estão sorriso torto, fraqueza em um dos lados do corpo, dificuldade para falar ou compreender, dor de cabeça súbita, perda de visão e tontura.
Chaddad lembra o teste “SAMU”, usado para reconhecer rapidamente os sinais:
- Sorriso: peça para a pessoa sorrir; se um lado do rosto não mexer, é alerta.
- Abraço: veja se ela consegue levantar os dois braços.
- Música: peça para repetir uma frase simples.
- Urgente: ligue para o 192 — cada minuto conta.
“Costumo dizer que tempo é cérebro, porque a cada minuto milhares de neurônios morrem ou deixam de se recuperar”, explica o neurocirurgião.
Além desses sinais, o AVC também pode causar dor de cabeça súbita e intensa. O tratamento precisa começar em até quatro horas após o início dos sintomas e pode envolver trombolíticos, que dissolvem o coágulo, ou trombectomia mecânica, procedimento que remove a obstrução do vaso.
Diagnóstico e reabilitação
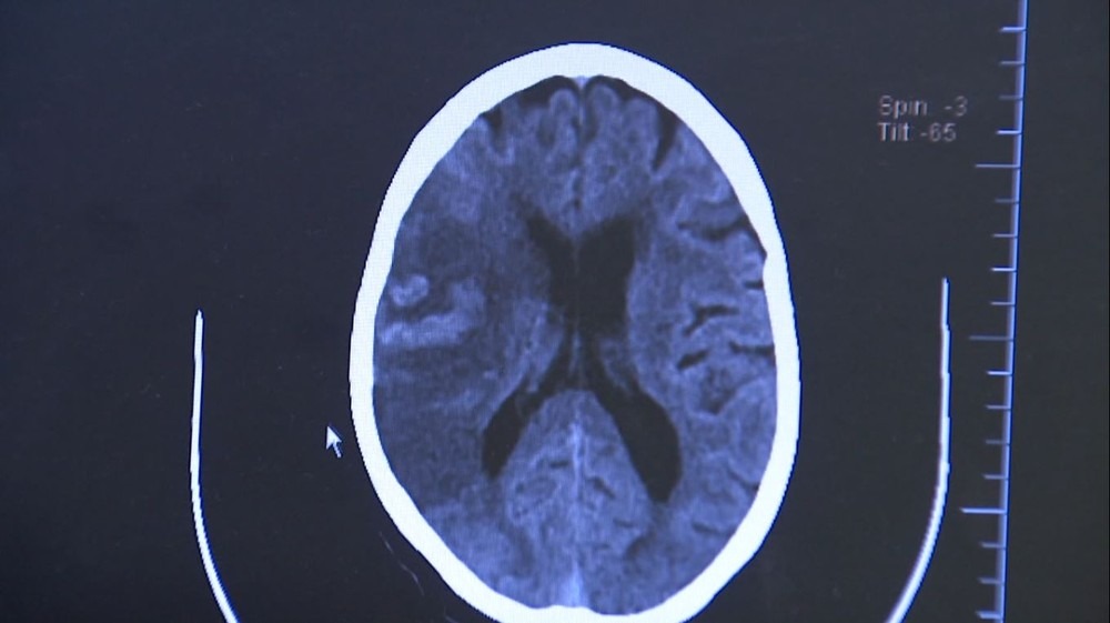
O diagnóstico é feito por tomografia computadorizada ou ressonância magnética do crânio. “Esses exames permitem detectar a área afetada e definir se é um AVC isquêmico ou hemorrágico”, diz Chaddad.
Mesmo depois do evento, há chance de recuperação. Com atendimento rápido e reabilitação multidisciplinar — fisioterapia, fonoaudiologia e terapia ocupacional —, muitos pacientes recuperam funções perdidas.
“O cérebro tem uma capacidade de adaptação impressionante, especialmente nos primeiros meses após o evento”, destaca Doria.
Mas todos os especialistas são categóricos: a melhor estratégia é não chegar lá. “Novos tratamentos avançaram muito, mas nada é tão eficaz quanto evitar o primeiro AVC”, resume Doria.
(Fonte:G1)

